NIA'S STORY

Behind Every Smile is a Story

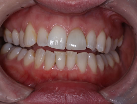
BEFORE NIA'S TREATMENT
inman aligner in northern ireland
WHAT TREATMENT DID NIA HAVE?

Clear braces by Jennifer McKissick BDS, Whitening and Smile Contouring by Trevor McKissick BDS

Whitening, Braces and Contouring for Nia on her big day! Absolutely stunning bride


BACK TO OUR SMILE STORIES